Skip to main navigation
Des ressources pour enseigner la chimie
Thématiques
Tous les contenus
Chimie analytique
Analyse quantitative
Chromatographie
Spectroscopies
Chimie du vivant
Chimie inorganique
Chimie de coordination
Chimie des solutions
Chimie supramoléculaire
Chimie organique
Catalyse
Chimie pharmaceutique
Méthodes et outils
Synthèse et rétrosynthèse
Chimie physique
Chimie quantique – modélisation
Cinétique chimique
Electrochimie
Photochimie
Thermodynamique chimique
Chimie des matériaux
Chimie des surfaces
Matière molle
Polymères
Solides cristallins
Chimie industrielle
Formulation
Génie des procédés
Chimie expérimentale
Synthèse inorganique
Synthèse organique
Techniques d’analyse
Chimie et société
Art
Energie
Environnement
Santé
Sport
Histoire de la chimie
Enseignement de la chimie
Didactique
Epistémologie
Revues de presse
Niveaux
Tous les contenus
Collège
Seconde
Première STL
Première - Enseignement scientifique
Première - Spécialité Physique-Chimie
Terminale STL
Terminale - Enseignement scientifique
Terminale - Spécialité Physique-Chimie
Supérieur
Enseigner
Programmes officiels
Olympiades de chimie
Concours CGénial
Apprentis Chercheurs
Les Savanturiers
Événements
Parutions
Liens utiles
À propos
Contact
Sommaire
Thématiques
Tous les contenus
Chimie analytique
Analyse quantitative
Chromatographie
Spectroscopies
Chimie du vivant
Chimie inorganique
Chimie de coordination
Chimie des solutions
Chimie supramoléculaire
Chimie organique
Catalyse
Chimie pharmaceutique
Méthodes et outils
Synthèse et rétrosynthèse
Chimie physique
Chimie quantique – modélisation
Cinétique chimique
Electrochimie
Photochimie
Thermodynamique chimique
Chimie des matériaux
Chimie des surfaces
Matière molle
Polymères
Solides cristallins
Chimie industrielle
Formulation
Génie des procédés
Chimie expérimentale
Synthèse inorganique
Synthèse organique
Techniques d’analyse
Chimie et société
Art
Energie
Environnement
Santé
Sport
Histoire de la chimie
Enseignement de la chimie
Didactique
Epistémologie
Revues de presse
Niveaux
Tous les contenus
Collège
Seconde
Première STL
Première - Enseignement scientifique
Première - Spécialité Physique-Chimie
Terminale STL
Terminale - Enseignement scientifique
Terminale - Spécialité Physique-Chimie
Supérieur
Enseigner
Programmes officiels
Olympiades de chimie
Concours CGénial
Apprentis Chercheurs
Les Savanturiers
Événements
Parutions
Newsletter
Liens utiles
À propos
Contact
Fil d'Ariane
CultureSciences-Chimie
Tous les contenus
Chimie analytique
Chimie analytique
Types de contenus
À découvrir
Concept en bref
Image à la une
Molécule du mois
Synthèse
Actualité scientifique
Conférence
Dossier
Dossier
Chimie des origines du vivant
20.03.25 — Par Laurent Boiteau, Grégoire Danger, Caroline Freissinet, Philippe Nghe, Yann Trolez
Actualité scientifique
Le mystère des pigments violets de Delaunay dévoilé
03.03.25 — Par Claire Vilain
Conférence
Les cyanopolyynes : de la chimie interstellaire à la synthèse organique
27.02.25 — Par Yann Trolez
Actualité scientifique
L'IA pour prédire la toxicité de composés chimiques
03.12.24 — Par Emma Monnier
Actualité scientifique
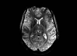
Première mondiale : le cerveau dévoilé comme jamais grâce à l’IRM le plus puissant au monde
26.11.24 — Par Emma Monnier
Conférence
Formation et évolution de la matière organique dans le système solaire
07.05.24 — Par Grégoire Danger
Conférence
La chimie au service de la recherche de traces de vie sur Mars
22.04.24 — Par Caroline Freissinet
Synthèse
Stratégie d’investigation sur la sécurité des couches pour bébé
01.12.23 — Par Corinne Marc
Actualité scientifique
Comment les humains ont volé le rouge aux plantes
27.11.23 — Par Claire Vilain
Actualité scientifique
Le panache de l’incendie de Notre-Dame suivi à la trace
27.02.23 — Par Emma Monnier
Actualité scientifique
Une première mondiale pour l’étude de profils d’abondance isotopique de la vapeur d’eau
15.02.23 — Par Emma Monnier
Actualité scientifique
Des nanoparticules fluorescentes qui communiquent entre elles
28.11.22 — Par Emma Monnier
Charger plus d'articles
Lettre d'information
Restez au courant de l’actualité de CultureSciences-Chimie en vous abonnant à notre lettre d'information.
S'abonner
Success message!