Pour la première fois au monde, le CEA dévoile une série d’images de cerveau, obtenue avec le scanner IRM Iseult, doté d’un champ magnétique inégalé de 11,7 teslas.
Ce succès marque la concrétisation de plus de 20 années de recherche et développement autour du projet Iseult. L’objectif du projet était de construire le scanner IRM le plus puissant au monde afin d'obtenir des images du cerveau humain à un niveau de résolution jamais atteint. Ceci ouvre la voie à de nouvelles découvertes sur le cerveau, sain ou pathologique, des détails sur son anatomie, ses connexions et son activité.
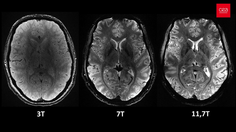
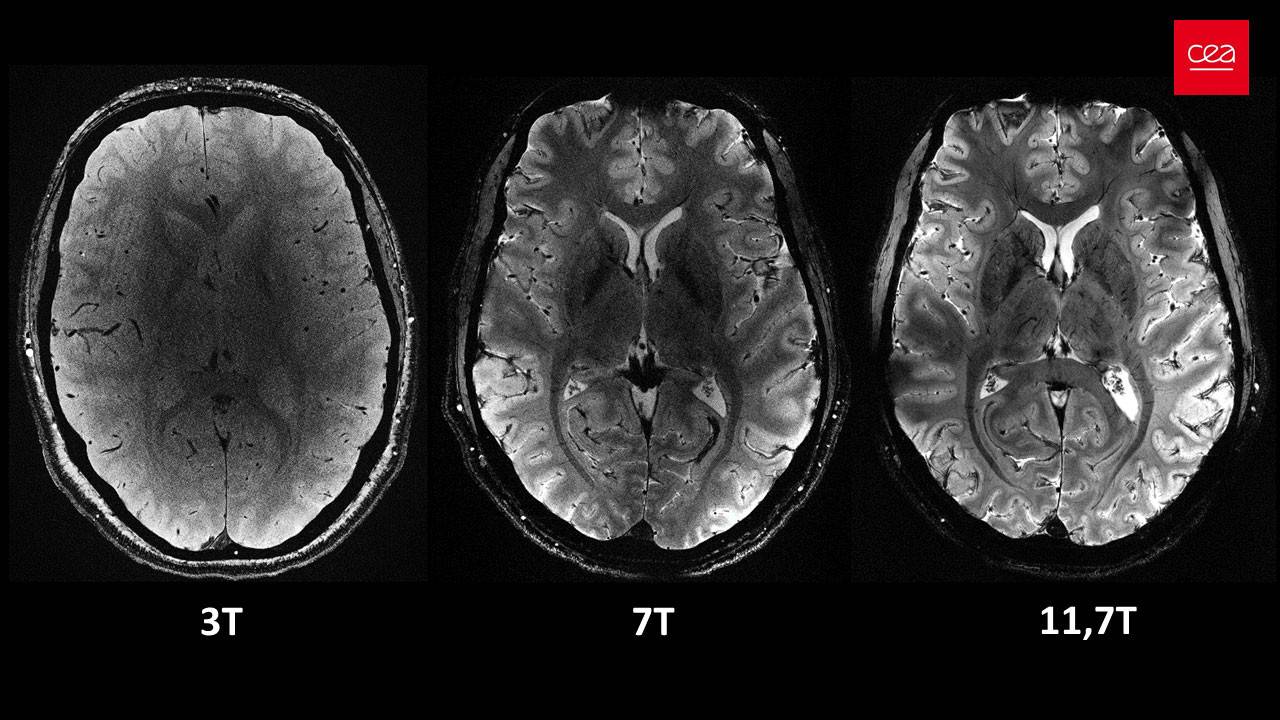
A 3 T, aimant d’IRM couramment utilisé dans les centres hospitaliers, et à 7 T, (seules 3 machines en France et une centaine dans le monde), la précision et la netteté sont moindres. A 3 T, un nuage « granuleux » empêche de délimiter clairement les structures anatomiques du cerveau. A 7 T, lorsque l’on zoome, le niveau de détail à cette résolution est amoindri. A 11,7 teslas, l’IRM Iseult, le seul actuellement en fonctionnement au monde à cette intensité, fournit un réservoir de signaux et de contrastes entre les tissus biologiques qui permet une exploration plus fine du cerveau humain.
Seulement quatre minutes ont suffi pour acquérir certaines des plus belles images anatomiques de cerveau. L'appareil Iseult installé au CEA utilise l’imagerie par résonnance magnétique. Il est le plus puissant au monde avec son champ magnétique de 11,7 teslas. La résolution des images est impressionnante de par son temps d’acquisition si court : 0,2 mm dans le plan et 1 mm en profondeur, représentant un volume équivalent à quelques milliers de neurones seulement.
À titre de comparaison, un appareil IRM implanté à l’hôpital (1,5 ou 3 teslas), prendrait plusieurs heures pour un même résultat d'image. Ce qui est impensable pour le confort du patient et parce que ses mouvements « brouilleraient » l’image. D'où ces résultats spectaculaires du programme Iseult.
«
Avec Iseult, c’est un monde inconnu qui s’ouvre devant nous et nous avons hâte de l’explorer. Plusieurs années de recherche vont être encore nécessaires pour développer et améliorer nos méthodes d’acquisition et garantir des données de la meilleure qualité possible. C’est à l’horizon 2026-2030 qu’on cherchera à explorer certaines pathologies neurodégénératives, mais aussi des maladies qui relèvent davantage de la psychiatrie, comme la schizophrénie ou les troubles bipolaires. Sans oublier les sciences cognitives ! »
Ces résultats sont très prometteurs ! En atteignant des résolutions aussi fines, il sera possible d’accéder à des informations sur les neurones jusque-ici inatteignables, mais également comprendre comment notre cerveau encode nos représentations mentales, nos apprentissages ou encore découvrir quelles sont les signatures neuronales de l’état de conscience humaine. Les détails qui seront obtenus avec l’IRM Iseult auront des applications en recherche médicale, en participant notamment à établir un meilleur diagnostic et une meilleure prise en charge de maladies neurodégénératives telles que les maladies d’Alzheimer ou de Parkinson.
En bref, des avancées considérables et mémorables pour notre compréhension du cerveau humain !
