La radiographie est probablement l'un des examens médicaux les plus courants (il suffit de songer à son utilisation en soins dentaires pour s'en convaincre). Si ce n’est pas une technique nouvelle, elle se révèle être encore d’une grande actualité et d’une grande utilité. En effet, même si de nombreuses autres techniques d’imagerie médicale très sophistiquées sont apparues depuis quelques décennies (échographie, scanner, IRM, PET scan, scintigraphie, etc…), la radiographie est loin d’être obsolète car elle a su évoluer.
On peut comparer la qualité de l’image et le nombre de détails visibles avec la radiographie historique de la main de l’épouse de Röntgen effectuée en 1895 (voir Figure 4 du 1er article du dossier « Histoire de la découverte des rayons X et de leur application en médecine »)
Problèmes liés à l’irradiation aux rayons X
Le seul problème associé à la radiographie découle de son principe même : les rayons X utilisés ne sont pas inoffensifs pour les tissus [1]. Toutefois, la radioprotection a connu des progrès considérables depuis les premiers examens à la fin du XIXe siècle (voir le premier artciel du dossier, partie « Premières utilisations en imagerie médicale »). Les opérateurs médicaux sont aujourd'hui protégés des rayonnements et l’augmentation de la sensibilité des appareils a permis de réduire considérablement les doses envoyées au patient. Aujourd'hui, les doses reçues lors d’un examen radiologique sont le plus souvent équivalentes à celles associées à des situations de la vie courante (séjour de quelques jours en altitude, voyage en avion par exemple). Bien entendu, la prescription tient compte des conséquences possibles de l'irradiation aux rayons X. L'examen radiologique est par exemple contre-indiqué chez la femme enceinte de moins de 12 semaines (de manière non absolue). On peut donc dire que le risque encouru lié à l’examen radiologique, s’il n’est pas nul, est très faible si les protocoles et les recommandations sont respectés, et très largement compensé par le bénéfice retiré, ce qui justifie amplement le maintient de son utilisation. Pour donner une idée, et même s’il est difficile d’avoir des chiffres précis, on estime que le dépistage systématique du cancer du sein tous les 3 ans à partir de 50 ans (voir paragraphe 3) engendrerait entre 1,4 et 22 cas de cancers supplémentaires par million de femmes, chiffre à comparer aux 50 000 femmes qui développent un cancer spontanément et que la systématisation de cet examen peut aider à sauver en permettant une détection précoce.
Indications thérapeutiques
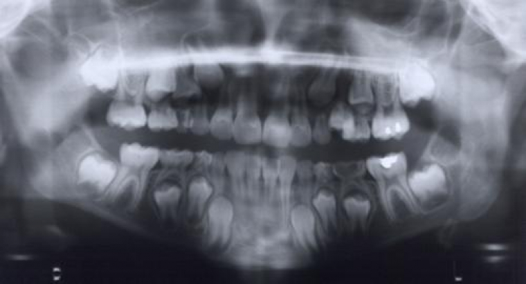
La radiographie est une technique employée aussi bien préventivement (exemple : mammographie de contrôle) que pour réaliser un diagnostic (exemple : radiographie dentaire, Figure 2) mais aussi pour l’accomplissement d’un acte thérapeutique (exemple : kystographie gazeuse).
La radiographie peut être simple si les organes à visualiser présentent un contraste suffisant (cas des os) mais peut également nécessiter l’utilisation de produits contrastants (iode pour l’angioplastie ; la baryte BaSO4 pour le lavement baryté par exemple). Selon la partie du corps radiographiée et la méthode employée, les affections détectées ne sont pas les mêmes. Ainsi, on peut donner une liste non exhaustive des principaux types de radiographies ainsi que leurs indications [1].
|
Type de radiographie |
Organe(s) visé(s) / Indications |
Particularité technique |
|---|---|---|
|
Angiographie |
Vaisseaux sanguins. Usage préopératoire (trajet des vaisseaux). Pathologies recherchées : sténose, phlébite. |
Utilisation d’un produit de contraste (iode). |
|
Angioplastie |
Problèmes vasculaires. |
Intervention sur les vaisseaux (dilatation). |
|
Arthrographie |
Anomalies des articulations non visibles en radiographie standard (ménisques/cartilages). |
Utilisation d’un produit de contraste. |
|
Coronarographie |
Problèmes sur les artères coronaires (infarctus, angine de poitrine). |
Utilisation d’un produit de contraste (iode). |
|
Cystographie |
Diverticules de la vessie, tumeur, reflux urinaire rénal, rétrécissement de l’urètre. |
Utilisation d’un produit de contraste (iode). |
|
Densitométrie osseuse |
Ostéoporose |
Détermine la masse de calcium dans les os selon l’absorption des rayons X. |
|
Hystérosalpingographie |
Utérus, trompe. Stérilité, infections répétitives, douleurs. Pathologies recherchées : tumeur, fibrome, rétrécissement des voies génitales. |
Utilisation d’un produit de contraste (iode). |
|
Lavement baryté |
Colon. Antécédent de cancer, saignements, diarrhées, douleurs abdominales. Pathologies recherchées : tumeurs, polypes, diverticules, inflammations, infections. |
Utilisation d’un produit de contraste (baryte). |
|
Mammographie |
Voir paragraphe suivant. |
|
|
Myélonographie |
Moelle épinière. Douleurs neurologiques (sciatiques…). Pathologies recherchées : hernie discale, tumeur, abcès, hématome. |
Utilisation d’un produit de contraste (iode). |
|
Radiographie standard |
Tous les organes. Aide diagnostique au sens large. Pathologies recherchées : fractures, malformations, infections, tumeurs, occlusion, etc... |
|
|
Radiographie osseuse |
Tous les os. Douleurs, gonflements, craquements, blocages. Pathologies recherchées : Fracture. déviation, infection, tumeur. |
|
|
Radiographie pulmonaire |
Thorax (poumons, voies aériennes supérieures, coeur, côtes, vertèbres). Douleurs, toux, fièvres, difficultés respiratoires. Pathologies recherchées : Infections, malformations, tumeurs, présence anormale de liquide ou d’air. |
|
|
Sialographie |
Glandes salivaires. Coliques salivaires. Pathologies recherchées : Calculs malformations, rétrécissements. |
Utilisation d’un produit de contraste (iode). |
|
Transit oeso-gastro-duodénal |
oesophage, estomac, duodénum. Trouble de la déglutition, douleurs ou saignements digestifs. Pathologies recherchées : tumeurs, polypes, diverticules, infection, inflammation. |
Utilisation d’un produit de contraste (iode). |
|
Urographie intraveineuse |
Voies urinaires. Coliques néphrétiques, sang dans les urines, cystites. Pathologies recherchées : calculs, malformations, tumeurs. |
Utilisation d’un produit de contraste (iode). |
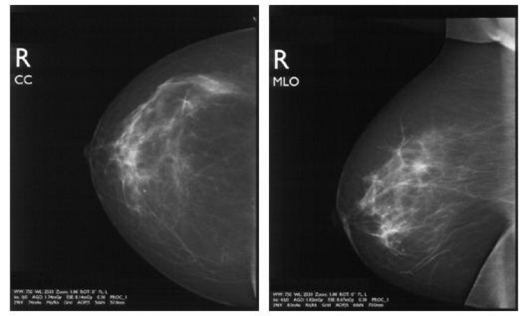
Un exemple d’utilisation de la radiographie : la mammographie
Particularité radiologique du sein
Le sein est un organe constitué de tissus mous. Il comporte des éléments hydriques (peau en surface, tissus glandulaires et conjonctifs en profondeur), des éléments graisseux (qui sont à l'origine du contraste radiologique) et des calcifications (dépôts calciques dans la fibrose, la nécrose, les parois vasculaires, la concentration de sécrétions glandulaires.) Les éléments hydriques et graisseux n’ont pas une grande différence d’atténuation, aussi les différences de contrastes sont faibles, or en mammographie, l’utilisation de produits de contraste reste limité à quelques cas très particuliers (exploration d’un canal galactophore par injection dans ce canal d’un produit à base d’iode, Figure 4). Pour obtenir un contraste suffisant, il est donc nécessaire que les rayons X ne soient pas trop perforants, c'est-à-dire utiliser un faible kilovoltage (typiquement entre 25 et 30 kV, contre souvent plus de 100 pour d’autres types de radiographie). L’information d’une mammographie est donc essentiellement contenue dans les nuances de gris (Figure 5), et il est essentiel que le film ne soit pas sur ou sous-exposé. Une bonne mammographie repose sur des choix judicieux (matériel, film, développement, etc…) et surtout sur l’expérience du radiologue. Une des difficultés de la lecture d’une mammographie provient du fait qu’un sein n’est pratiquement jamais dépourvu de diverses marques du passé (fibroses, kystes, opacités diverses) qui peuvent compliquer l’interprétation, quand ce n’est pas masquer un élément pathologique puisque les différents éléments se superposent sur le cliché. D’où, entre autre, l’intérêt de réaliser plusieurs clichés sous différents angles, et de comparer l’image radiologique des deux seins.
Les principales pathologies du sein et leur traduction radiologique
Le cancer est loin d’être la seule pathologie du sein, même si elle reste la plus grave. Dans la majorité des cas, heureusement, les anomalies détectées se révèlent être des tumeurs bénignes, des fibroses ou des kystes. Toutes ces anomalies, malignes ou bénignes, ont pour caractéristique d’apparaître comme des structures hydriques (présence de liquide ou amas fibreux), correspondant à des zones assez claires en radiographie au contraire des éléments graisseux qui apparaissent plus foncé.
Mammographie et cancer du sein
Le cancer du sein est le plus fréquent des cancers féminins, représentant 36 % de tous les cancers. Il est responsable de 19 % des décès féminins par cancer. Or la détection d’une tumeur de moins de un centimètre (indécelable à la palpation mais à la portée d’une mammographie) conduit le plus généralement à une guérison. C’est pourquoi les femmes de 50 à 74 ans (âge de plus grande survenue de la maladie) sont invitées à faire une mammographie (prise en charge intégralement) tous les 3 ans. Actuellement un peu plus de 40 % des femmes concernées suivent cette recommandation, ce qui reste insuffisant, même si ce taux augmente continuellement. En effet, on estime qu’une participation de 70 % des femmes à ce dépistage de masse augmenterait le taux de guérison de 30 %. En terme radiographique, un cancer est essentiellement détecté du fait de la présence de microcalcifications au niveau de la tumeur. Cependant, toute calcification n’est pas le signe d’une tumeur. En effet, on trouve des calcifications artérielles, des calcifications sous-cutanées, ainsi que des kystes de petite taille contenant du lait calcique. Il faut donc repérer les calcifications qui signalent la présence d’une tumeur. Pour cela, il existe une nomenclature qui permet l’évaluation du risque, essentiellement basée sur la taille, le nombre et la distribution des calcifications. Ainsi, les calcifications d’une taille supérieure au millimètre, de même qu’une microcalcification (inférieure au millimètre) isolée ne signalent pas un cancer. En fonction du nombre des calcifications, de leur aspect individuel, de l’aspect de l’amas, on peut donc évaluer la probabilité qu’il y ait une tumeur cancéreuse. A partir de ce moment, des examens complémentaires seront prescrits si nécessaire, en premier lieu desquels figure la biopsie qui permet l’analyste histologique des tissus suspects pour préciser le diagnostique.
Bibliographie et ressources en ligne
[1] Adapté du site Doctissimo



